Especialidades

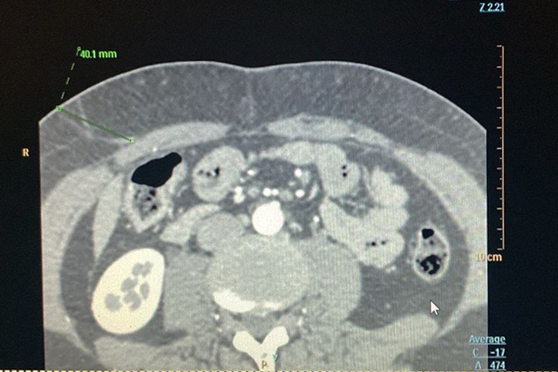
Imagen Avanzada y Cuantitativa

Mapeo de Arterias Perforantes

Imágenes Diagnósticas del Country

¿Qué es?

Es un conjunto de técnicas de última generación que permiten procesar y analizar imágenes médicas con precisión milimétrica. Estas herramientas son fundamentales para planificar intervenciones complejas, medir volúmenes exactos o trazar mapas vasculares detallados, especialmente en contextos quirúrgicos.

¿Cuándo se recomienda?

Se utiliza en cirugías oncológicas, procedimientos reconstructivos, planificación de radioterapia y en la evaluación de enfermedades complejas como patologías neurodegenerativas o hepáticas.

Imágenes Diagnósticas del Country

Recomendaciones para el paciente:

01

Estos estudios requieren imágenes de alta calidad obtenidas mediante resonancia magnética o tomografía computarizada, en algunos casos con medio de contraste.

02

Sigue al pie de la letra las instrucciones de preparación que te dé el equipo médico.

03

Procura realizarlos en centros especializados, con experiencia en procesamiento avanzado de imágenes.